3D Bounding Box
The 3D Bounding Box feature allows you to create 3D bounding boxes in medical assets.
Creating a 3D Bounding Box
In the medical labeling editor, click on a "Bounding Box"-type class in the "Tools" section on the left.
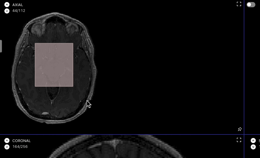
Click and drag with the left mouse button on the asset wherever you would like to create the bounding box.
Release the left mouse button to finalize two dimensions of the bounding box:

A 3D bounding box will be created with the two dimensions you specified, and the other dimension being, initially, 1px:

To edit the 3D bounding box's dimensions, click and drag on the editing points on the bounding box, in any view.
Changing the class to which a bounding box belongs
Right-click anywhere on the 3D bounding box and click on the three dots.
Then, from the "Change Category" sub-menu, pick the class you'd like to change the 3DBB to. The 3D bounding box will be assigned to that class.

Adding a Description / Name to a Bounding Box
You may add a manual text description or name to a bounding box by clicking on it and pressing "D" on your keyboard.
Last updated